治療案内
審美歯科
ホワイトニング
松倉歯科では、1 歯単位ではなく「上顎のみ」「下顎のみ」「上下顎両方」と 3 つに分けてホワイトニングを行っており、ご好評を いただいております。
診療所(オフィスホワイトニング)では早く効果が出る薬を使用する方法を行い、御家庭(ホームホワイトニング)ではゆっくり深 部まで効く薬をご使用いただく、2 つの方法で、より効果がでやすい方式を採用したホワイトニングを行っております。ヤニ汚れ や茶渋汚れが気になる方、白い歯を手に入れたい方など、お気軽にご相談ください。
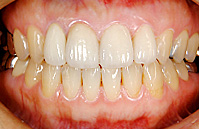
ご家庭でのホワイトニングの症例
ご家庭で使用できる、ホワイトニング薬剤(DENTRADE:パーフェクタ漂白ハミガキ)を塗布した結果です。
ご使用の前に、あらかじめ専用のトレーを作成する必要があります。
治療前
治療後
ラミネートベニア
上の前歯 4 本を治療しました。
小さい歯やひびが入った歯が白く綺麗になりました。
治療前
治療後









